Our highly skilled and experienced team delivers treatment options to support patients through a range of health and aesthetic issues. These include replacing one or more missing teeth with dental implants, offering the latest treatments to save your natural teeth where possible, and stabilising existing ill-fitting dentures.
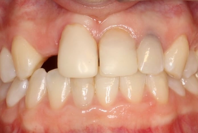
I have a missing tooth
At The Campbell Clinic we specialise in implant dentistry. With Colin Campbell, a specialist in Oral Surgery, Andy Legg and Beatriz Sanchez to provide consultations, treatment diagnosis, preparation and surgery in-house with the help of other clinicians at The Campbell Clinic.
Implant dentistry can vary from a single tooth replacement to a full mouth, all of which The Campbell Clinic can provide. Your treatment will be discussed with you extensively and will be made bespoke to your individual needs.
My teeth aren’t straight
At The Campbell Clinic, we provide several different orthodontic treatments to suit your diagnosis and preference. Maria Fernandez, who has a special interest in orthodontics, can provide fixed braces in both metal and ceramic or Invisalign. This treatment involves wearing clear retainers which are almost invisible.
We can see you for a consultation with Maria, where you can discuss your options and what is the best treatment for you.
I don’t like the appearance of my teeth
If you’re unhappy with the appearance of your teeth, there are a number of options we can help you with.
At The Campbell Clinic we offer a whitening service which can dramatically alter the appearance of your teeth.
We provide fillings, crowns, bridges and in some particular cases ‘one-day’ crowns. Using our digital restorative system, we’re able to scan the area and mill a crown on-site and fit this on the same day.
I don’t like my dentures
At The Campbell Clinic we have an in-house Clinical Dental Technician who can help provide an individual and bespoke denture to suit your needs. Our lab is on site and so provides and easy and structured process when proceeding with this treatment.
We offer traditional dentures which replace missing teeth, as well as implant dentures which can offer further support.
An implant retained denture can be made which involves implants being placed and studs connected to the denture for a stronger fit.
A slightly more advanced option would be an implant bar denture. This is a similar process but involves the creation of a bar which connects the implants placed. The denture then sits on top of this for, yet again, a stronger fit.