Fixed Braces in Nottingham

Proven, reliable orthodontic treatment - with expert care every step of the way

FIXED BRACES

At The Campbell Clinic in Nottingham, we offer fixed braces as a proven, highly effective way to straighten teeth and improve your bite. Whether you’re looking for a precise solution for complex crowding or want to achieve a well-aligned smile, fixed braces remain one of the most powerful orthodontic options available.

 

Why choose Fixed Braces?

  • Strong and efficient
    The brace is permanently fixed in place and is very precise. It's likely to be the best way to get the most perfectly straight smile.
  • Treatment is straightforward
    The brackets are stuck to your teeth at your bond-up appointment. As they're fixed to your teeth, they are straightening them 24/7.
  • There are different choices with your fixed brace
    Ceramic and stainless steel, with ceramic being more discreet.
  • Can even be adapted to different colours
    Younger patients can add flair with colour bands. Match it to your outfit or favourite sports team! If you're looking for a more discreet option, ceramic or Invisalign braces may be the answer.

Our Videos

How do fixed braces work?

Consultation & 3D Scan
We start with a detailed orthodontic consultation, including a 3D scan of your teeth. This allows us to build a personalised treatment plan and simulate the expected results.

Fitting the Brace
Brackets are carefully bonded to your teeth and connected with a thin wire. This wire applies gentle pressure to move your teeth into position gradually.

Regular Adjustments
Every 6–8 weeks, you’ll return for a quick adjustment. This helps keep your treatment on track and allows us to make precise changes throughout.

End of Treatment & Retainers
When your treatment is complete, we’ll remove the brace and provide retainers to help protect your new smile.


Most fixed brace treatments last between 12 and 24 months, depending on your individual needs.

Find Your Smile

Book your complimentary consultation now to discuss options for helping you with your smile!

Claim your free Consultation!

Metal or Ceramic? You Decide

We offer two types of fixed braces:

  • Metal Braces – The most durable and cost-effective option, now smaller and more discreet than ever.

  • Ceramic Braces – A more discreet alternative using tooth-coloured brackets that blend into your smile.

You can also choose coloured elastic bands if you'd like to personalise your braces, which is something many of our younger patients decide to do.

What to Expect

  • Comfort – Some mild aching is normal in the first few days after fitting or adjustments, but this settles quickly. We’ll guide you on how to manage it.

  • Diet – You’ll need to avoid hard or sticky foods that could damage your braces. We’ll give you complete instructions at your fitting.

  • Cleaning – You’ll need to take extra care when brushing. We’ll show you how to clean around the brackets using special brushes and techniques.
  • Breakages - If a bracket comes loose or a wire feels uncomfortable, we're here to help. Just call us and we'll arrange a quick repair.

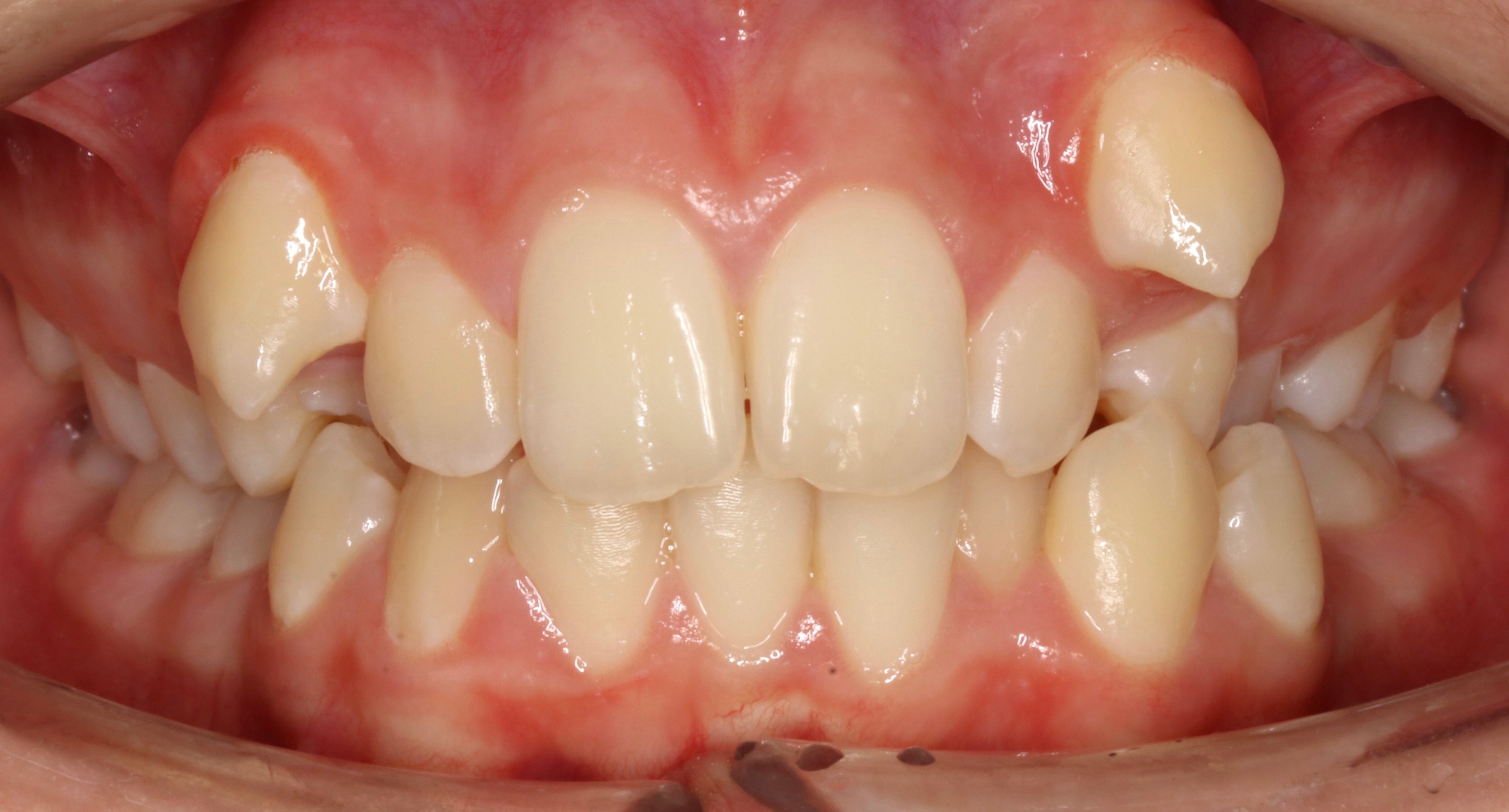
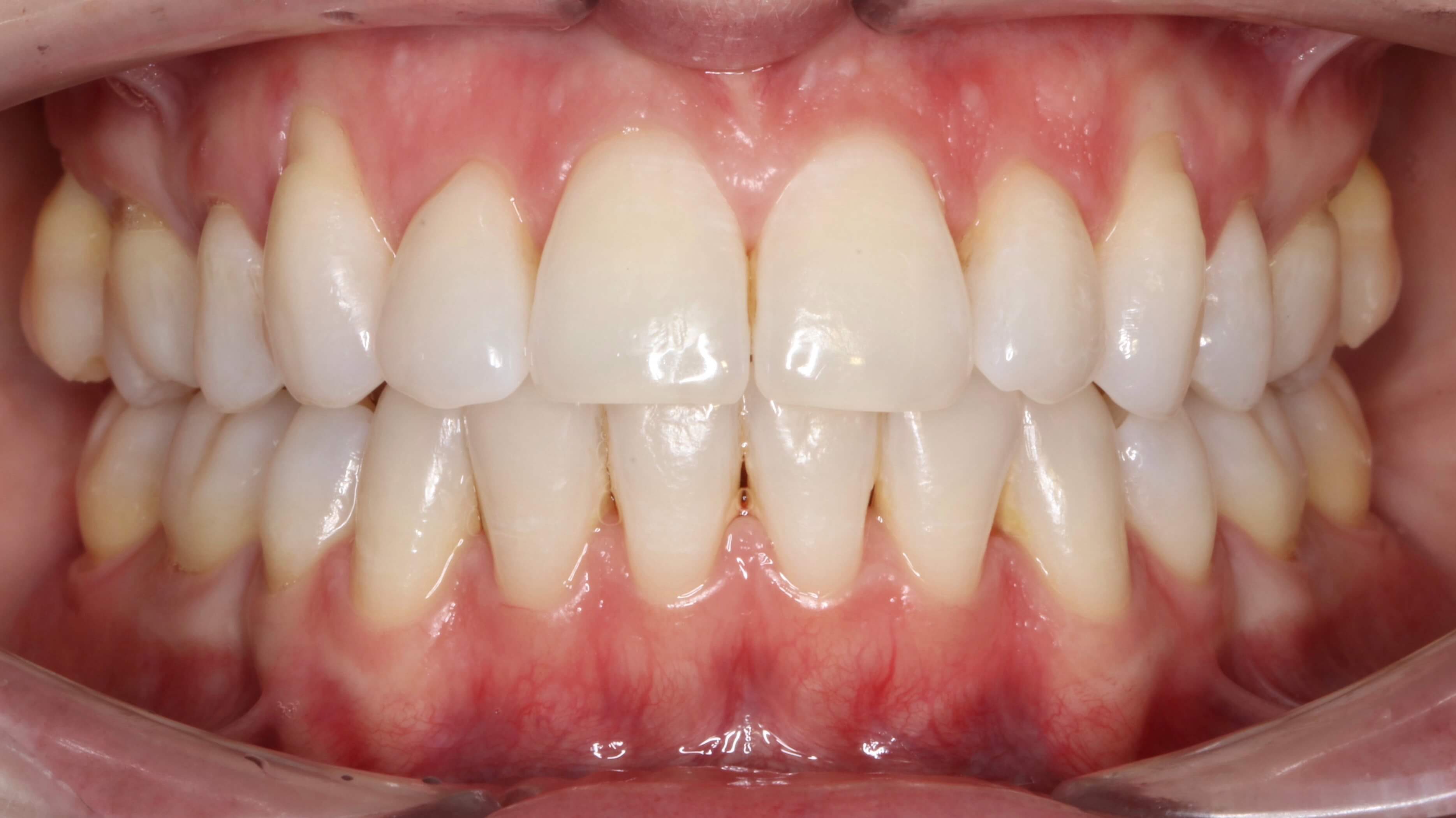
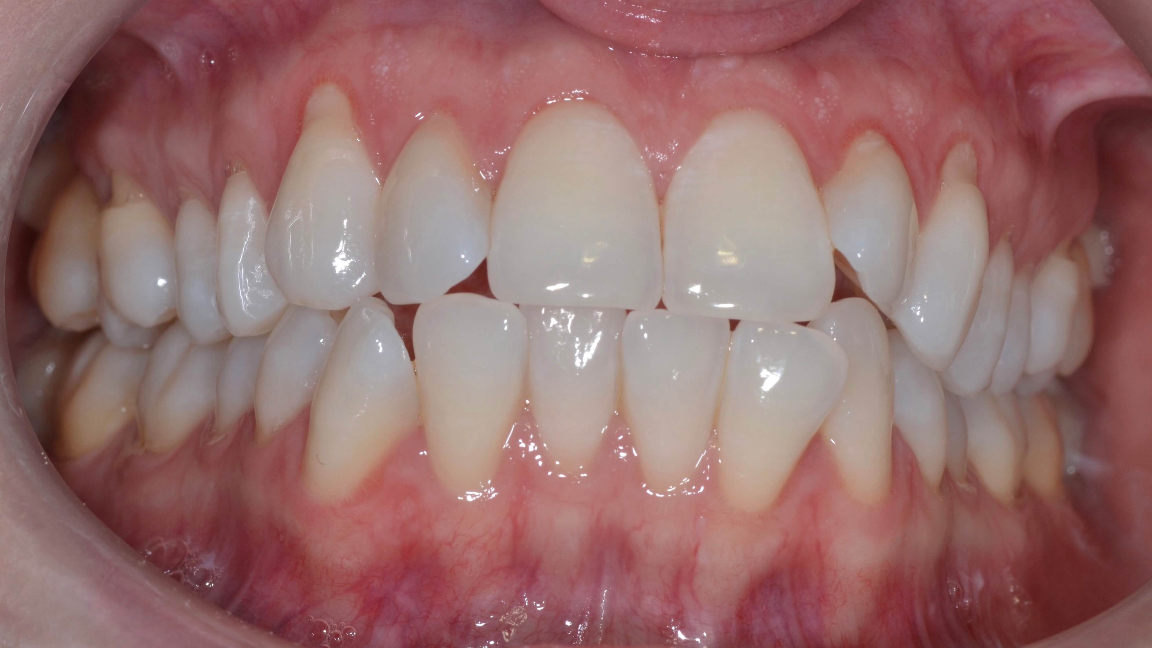
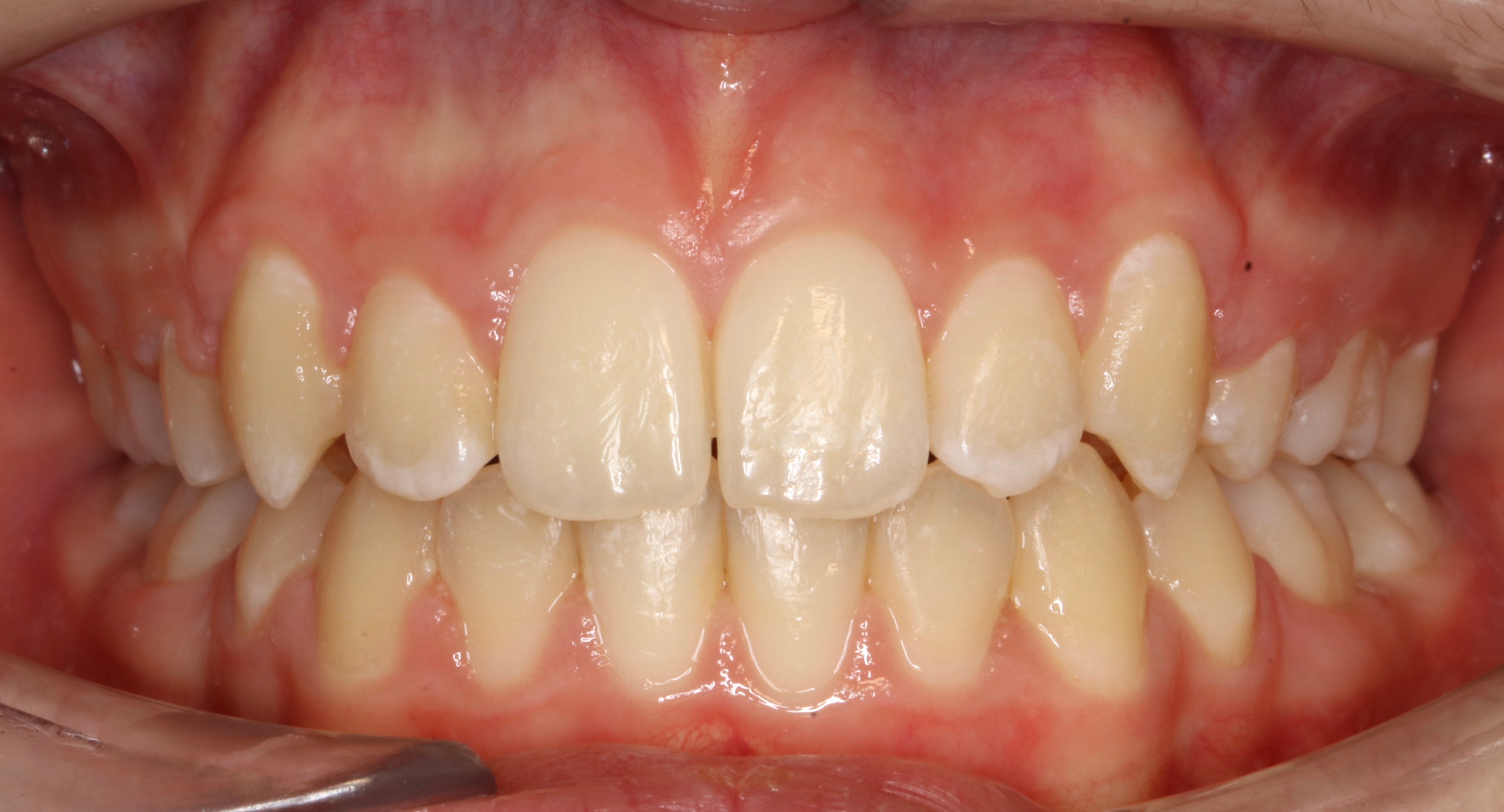
Our Results

Fixed braces Nottingham Fixed braces Nottingham
Pre Treatment
Post Treatment
Ceramic braces Nottingham Ceramic braces Nottingham
Pre Treatment
Post Treatment
Frequently asked questions
How long will I have to wear fixed braces?

Dependent on the treatment objectives, some treatments can take 1-2 years. Some limited objective treatment plans can be completed in 6-9 months.

Will my brace hurt?

No, having braces fitted shouldn’t hurt. However, when you have any appliance first placed on your teeth it's normal to expect a bit of aching and discomfort for the first 24-48 hours.

Following the 24 hours, as the wires start to pull at the teeth, the aching tends to build a little over a few days and then settle down.

The feel of the brace takes more time to get used to and sometimes you may need to use relief wax to alleviate the rubbing of the brace but most people are fine after a few weeks and become fully comfortable with the feel of the braces in their mouth.

Can I remove the brace?

No, the brace is bonded to your teeth and works constantly until the end of your treatment when our consultant orthodontist will debond it for you.

Can I eat normally?

Yes, once your brace has settled in you will be able to enjoy food like you used to. Be mindful of hard and crunchy foods as these could damage the brace and the wires. The consumption of sugary food and drinks should be kept to a minimum or avoided totally to avoid tooth decay.

How do I clean my teeth with braces?

You should take longer to clean around the braces, whilst using a normal toothbrush is fine, it is also useful to use interspace brushes such as Tepe brushes. You can also use floss or super floss but we will show how best to use this.

What do I do if my brace breaks?

If your brace breaks, don't worry as this can happen. Assess the damage, if the wire is still in place leave it in place until you can see your orthodontist. Then make an appointment with your orthodontist to come in and have it fixed.

How long does each appointment take?

Fitting or removing the brace means you will be in the practice for up to an hour. This is not an hour of having treatment but everything combined. Brace adjustments will usually take around 10 to 15 minutes.

How often will I need to be seen for appointments?

We normally see patients every 6-8 weeks. This gives time for the teeth to move but also for the teeth to recover from any movements made.

Will I need impressions taking?

Here at The Campbell Clinic Nottingham, we form a 3D digital scan to customise a treatment plan with you before the brace is fitted.

Can I choose the colours of my brace?

Yes! The colour relates to the elastic bands that are used to tie the wire into the brace. You can still have coloured elastics whether you are having metal or ceramic braces.

Will the brace damage my teeth?

The brace will not damage the teeth but what you eat or drink during the treatment could.

Does it hurt removing braces?

In most cases, the braces are removed in a few minutes without any real discomfort.

Enquire Now