Dental Implants

If you have lost a tooth, then a dental implant is often the best solution to replace it. A dental implant is a titanium screw that is placed in your jaw and fitted with a prosthetic tooth. Not only can the result look and feel natural, restoring the strength and function of a natural tooth, but it can also preserve the health of your neighbouring teeth and your underlying bone structure.
menu-logo Click to see how we can help
Have you lost a single tooth?
Are you looking to replace all of your teeth with implants?
Do you need to fill a larger gap in your mouth?
Scroll

Have you lost a single tooth?

Single Implant

If you have lost a single tooth, then a dental implant is often the best solution to replace it. A dental implant is a titanium screw that is placed in your jaw and fitted with a prosthetic tooth.
 
Not only can the result look and feel natural, restoring the strength and function of a natural tooth, but it can also preserve the health of your neighbouring teeth and your underlying bone structure.
 
Dental implants are an option for most people and can be almost undetectable once they have been fitted.
Screen Shot 2019-10-09 at 11.52.02
They can give the best results in terms of aesthetics and function, restoring the appearance of your smile or your bite, depending on where you have a gap.
 
Dental implants are usually easier to clean than dentures and can last much longer than any other restoration.
 
Dental implant placement can be straightforward, advanced or complex depending upon the circumstances and the situation and it takes a great degree of expertise and insight by the clinical team to understand exactly the requirements of each individual patient.
CC 20150507 1355

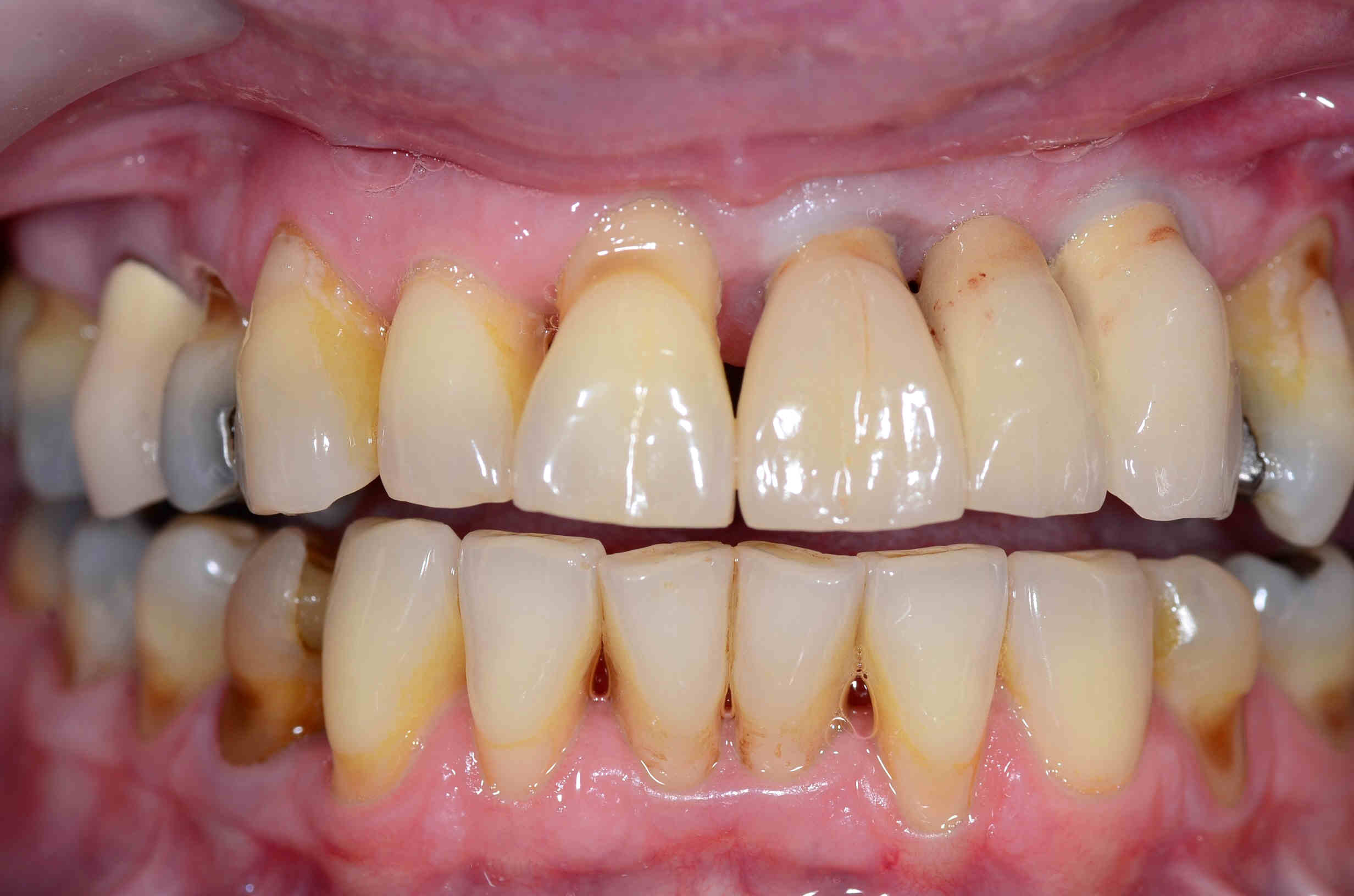
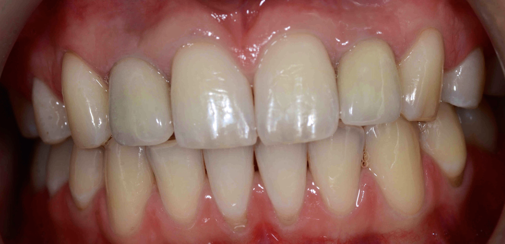
Patient Story

Before
The patient in this example attended the practice with congenitally missing teeth (missing from birth). The spaces were created with braces by a Specialist Orthodontist and the teeth were replaced in the upper lateral incisor regions with all associated complex procedures.
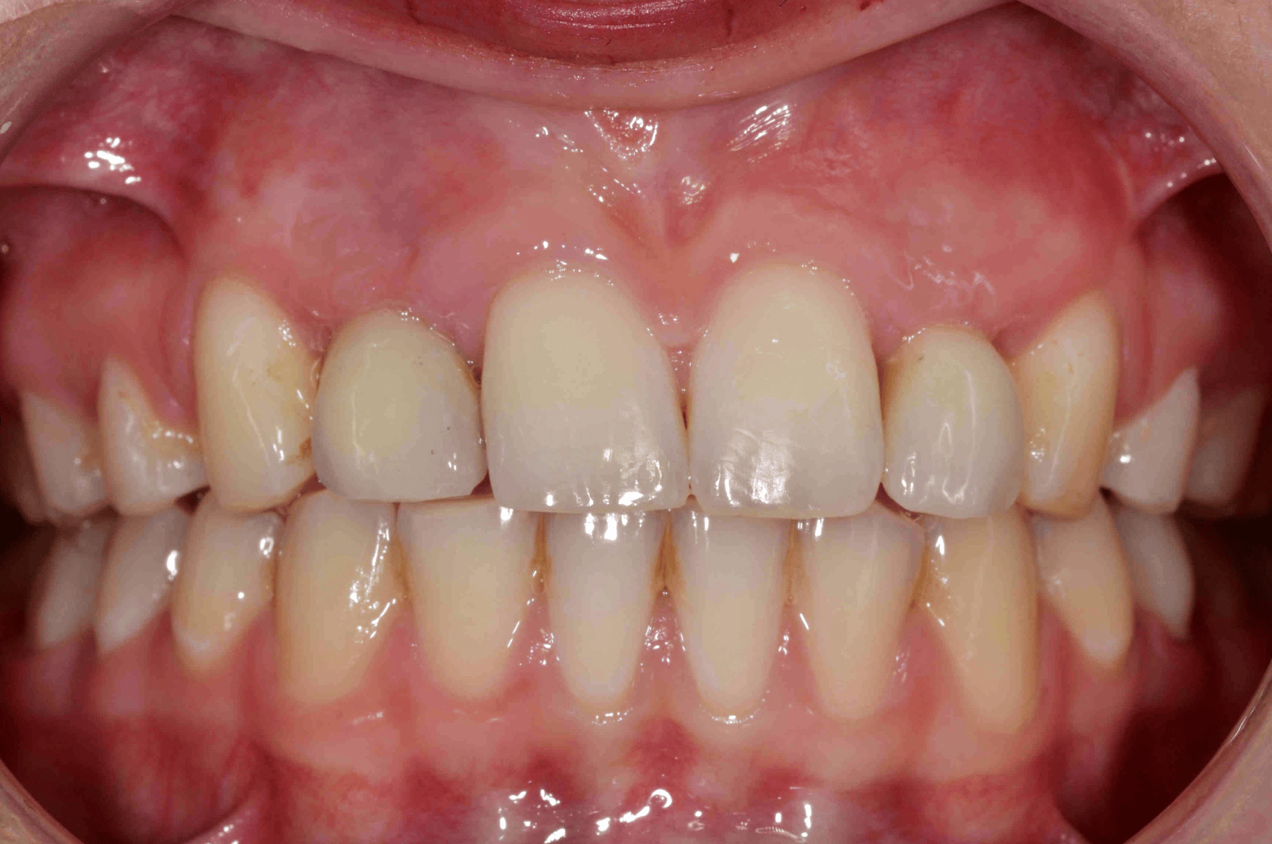
Crown Fit

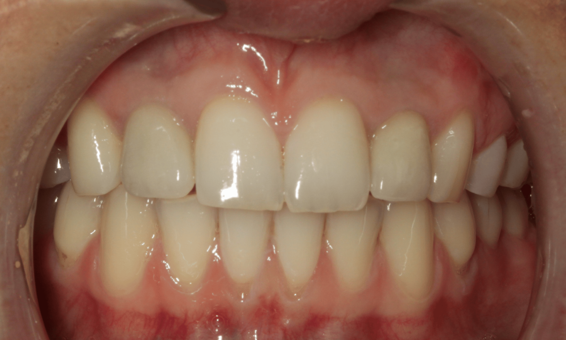
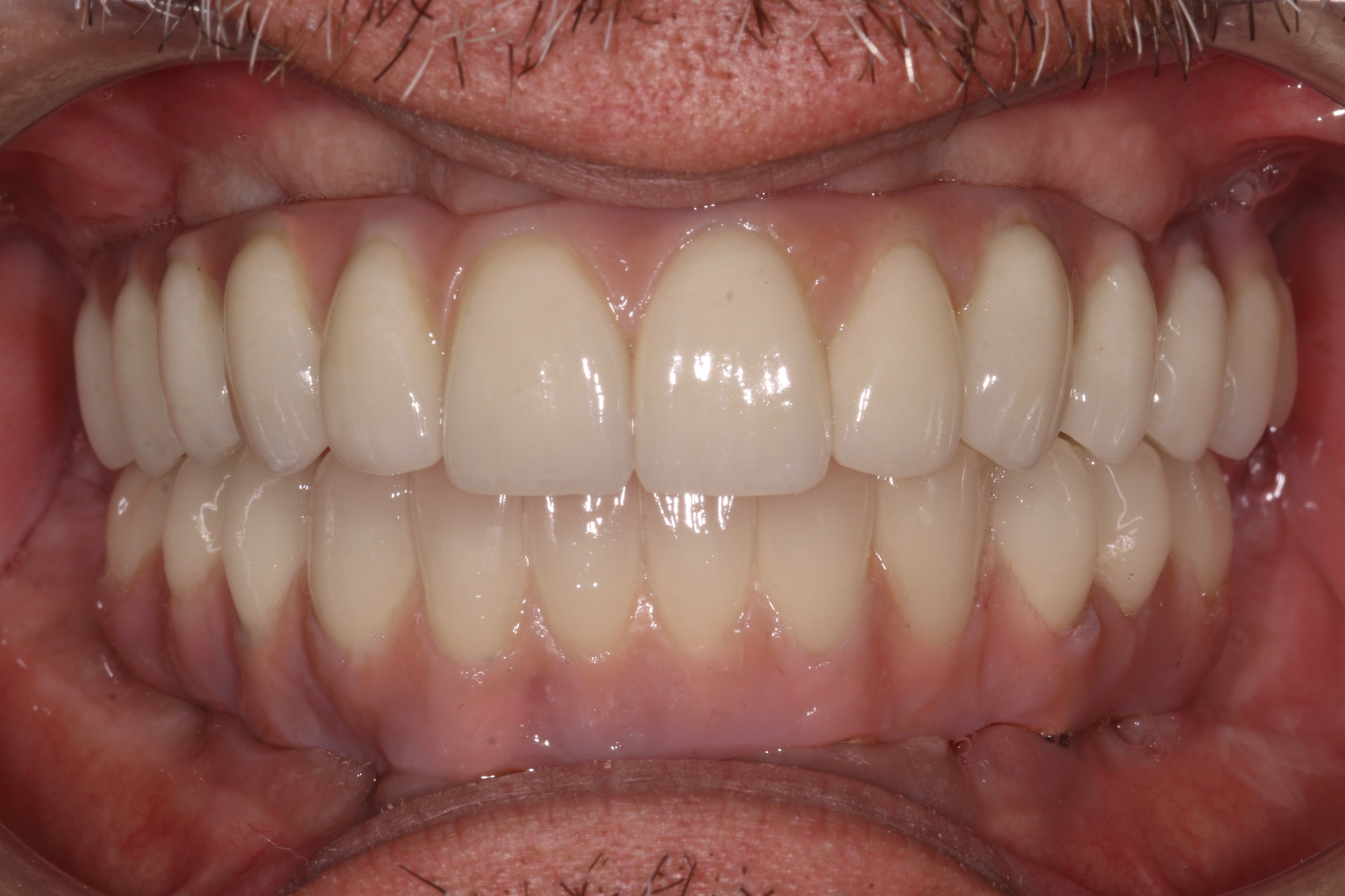
Treatment Stages

1 Year Post-Op

The images above shows the patient at the outset of treatment and at crown fit. These are at one year following treatment and five years following treatment.

5 years Post-Op

Are you looking to replace all of your teeth with implants?

Dental Implants

At The Campbell Clinic our team look after patients who require full mouth reconstructions and full arch reconstructions on a day-to-day basis and have done for many years. A full arch reconstruction is when it is necessary to replace all of the patient’s teeth in one jaw and a full mouth reconstruction is when it is necessary to replace all teeth. 
 
Patients can lose teeth for many reasons, including gum disease and tooth decay, and the resultant loss of teeth can be extremely distressing and upsetting. The team at The Campbell Clinic completely understand this and we work very hard with all of our patients to find them the best possible solution for their circumstances. 
 
We do not believe that ‘one size fits all’ and we completely believe that there is an individual solution for every single patient.
Screen Shot 2019-10-09 at 11.50.34

Implant Retained Dentures

It is possible to provide assistance to retain and steady conventional complete dentures. The simplest method of doing this is to use a ‘press stud’ style attachment on dental implants known as a locator abutment. 
 
It is necessary to place two or four implants in the lower jaw and a minimum of four implants in the upper jaw. 
 
The implants have a ‘press stud’ style attachment included with the opposite end of the attachment within the denture. This allows the dentures to be pressed into the mouth and ‘clicked’ in place. Although there can still be slight movement with this restoration it is a world away from a conventional complete denture and offers security, stability and confidence for patients who experience difficulty wearing dentures.
 
At The Campbell Clinic, Specialists in Oral Surgery and Prosthodontics can advise patients on the best options for care in these situations.
Screen Shot 2019-10-09 at 11.51.19

Removable Bridgework/Bar Restorations

For patients looking for a much more secure option and in particular, in the upper jaw where patients do not want a restoration that covers their palate, an excellent option is an implant supported denture, which is retained on a bar (removable bridge).
 
In the upper jaw this generally requires placement of four dental implants. In the lower jaw this can be two or four dental implants upon which a custom-built bar is fitted which allows a minimal denture to be secured using clips and studs. 
 
This is an extremely rigid and robust restoration and the majority of our patients are able to eat apples and crusty bread using this type of solution.
 
A removable bridge is required to be removed twice daily for cleaning but retained in the patient’s mouth at all other times. It is a highly successful restoration for many of our patients.
cbi-0216-092_031_090612

Fixed Bridgework

The ideal option for many patients is to have fixed-in-teeth.
 
Four, six or eight dental implants are placed with teeth constructed on the top that are secured in place and not removed. These restorations are cleaned with a toothbrush and interdental cleaning brushes and are the closest possible solution to natural teeth. 
 
There are several ways that these restorations can be constructed and, at The Campbell Clinic, Specialists can give you advice on all of the possible options and which one might be the most suitable for your situation. It is really important to remember that one size does not fit all in these situations.
 
With fixed-in-teeth solutions we would expect our patients to be able to eat whatever they want and to smile and function with huge confidence.
Clinic 20160511 8979

Immediate Restorations

Much is made in both the press and other places about the possibility of ‘immediate teeth’ and ‘teeth in a day’. For patients who have a failing dentition and need multiple teeth extracted, or for patients who no longer have teeth present this is a possibility but is a very specific type of treatment that needs to be assessed on an individual patient basis. Not everyone is suitable for immediate teeth but, if suitable, it can be an extremely useful and powerful restoration to provide people with a fantastic solution.
 
It is extremely important that people being assessed for this type of treatment are seen by appropriately qualified individuals with experience as the General Dental Council classifies this as a complex treatment.
 
In cases of possible immediate tooth replacement all options need to be discussed with an appropriately qualified member of our team to ensure that you are happy to proceed with the treatment that is best for you.
storyblocks-macro-shot-of-shiny-dental-tools_rLl9RBNpWG
If you are keen to proceed with an immediate restoration, and you are suitable for this, it is generally possible to provide you with immediately fixed-in-teeth (which are temporary teeth) on a same day basis. Generally, treatment starts at approximately 8am and finishes between 3pm – 4pm. Our patients are generally sedated but leave the practice with a lovely new smile and teeth that are fixed into their mouth as demonstrated by the photographs.
 
At The Campbell Clinic we have considerable experience in the provision of immediate teeth and full arch restorations with the combined experience of the clinicians in well over 100 cases treated. We keep a very close eye on our success rates and our patient outcomes and feel that this is a very successful treatment for appropriate cases in our practice.
Screen Shot 2019-10-09 at 11.51.03

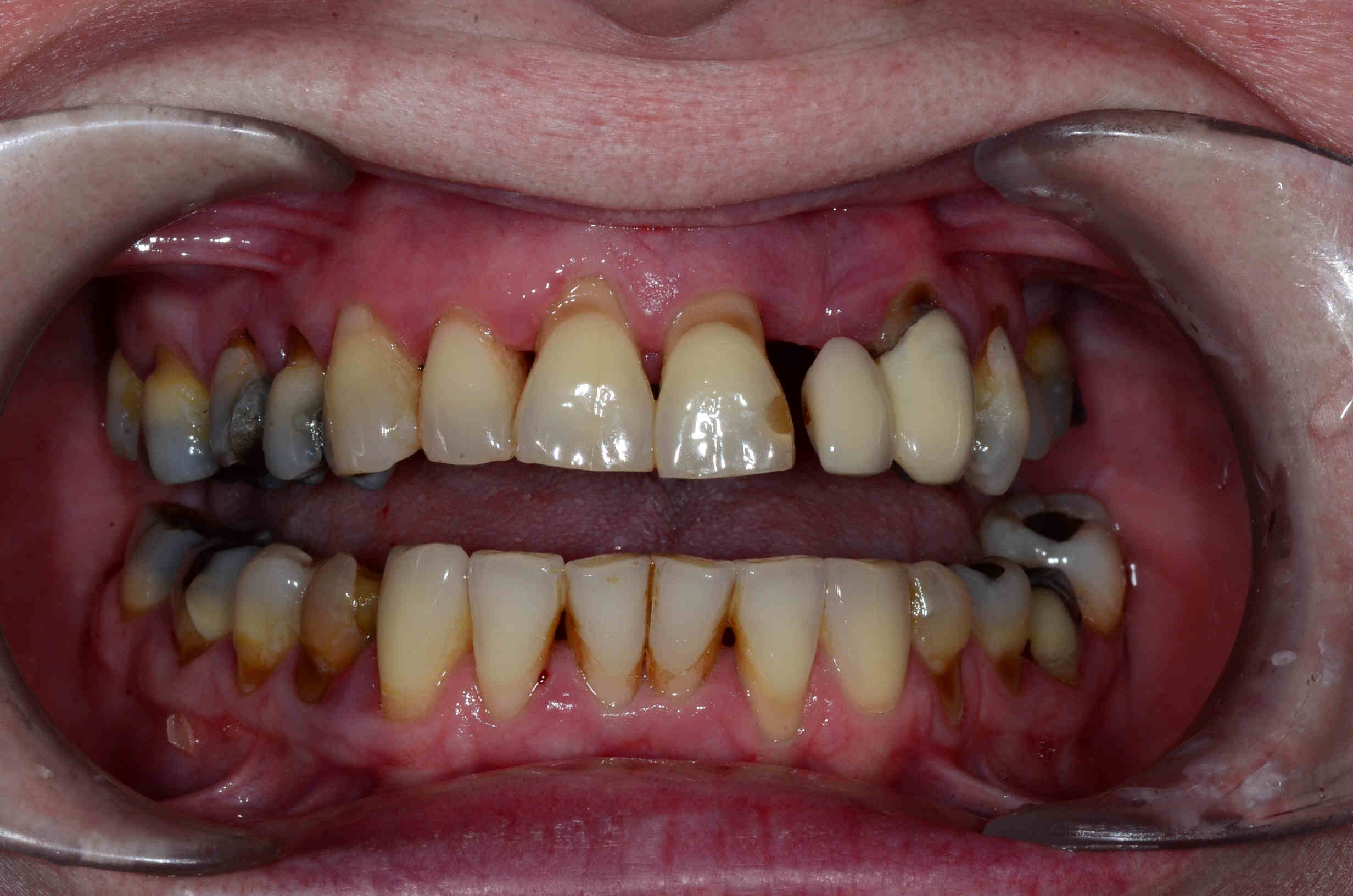
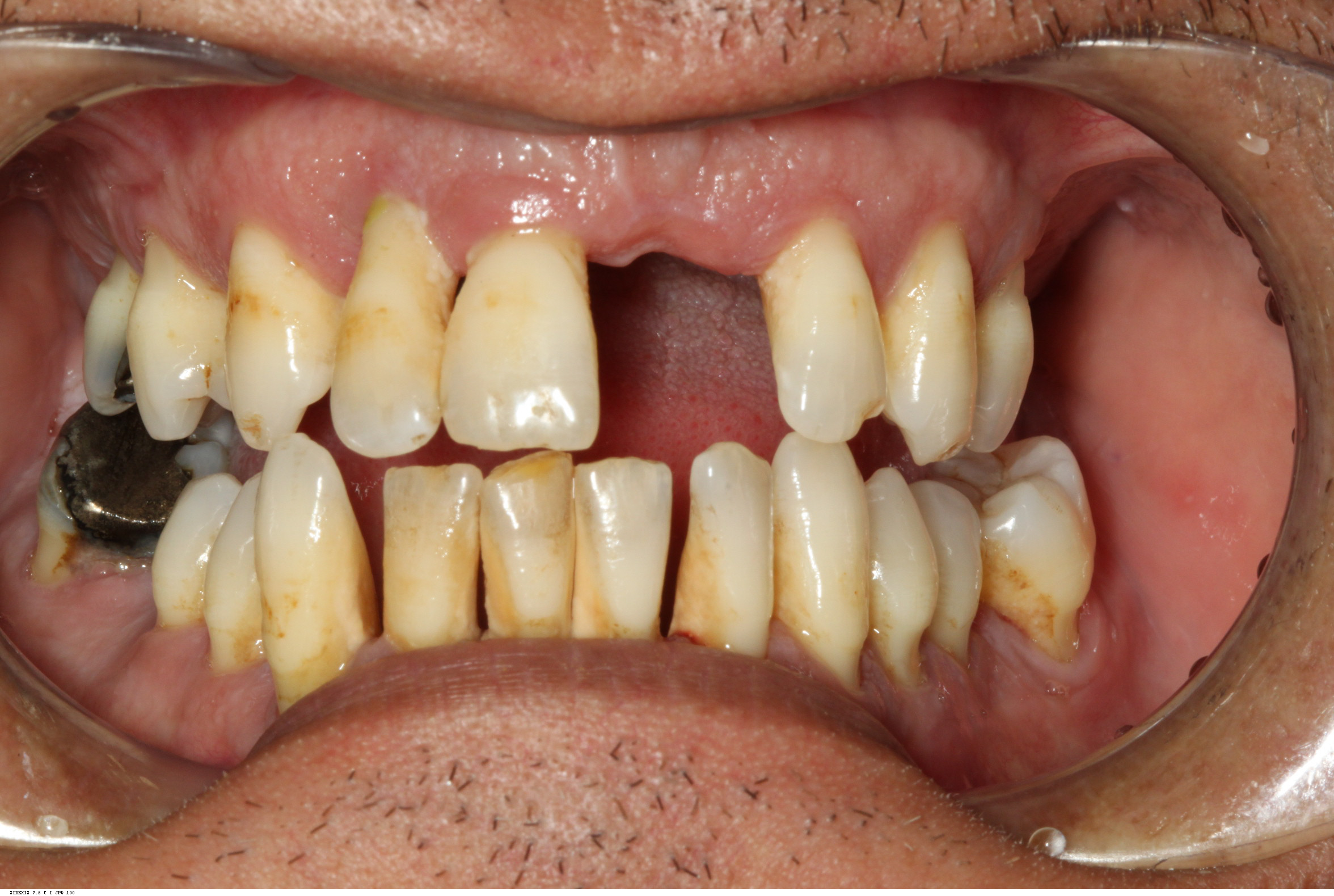
Patient Story

Before 2-1

This patient attended the clinic with requests to improve his smile as he was unhappy with the appearance of his teeth. The patient suffered with sever periodontitis and some of his teeth were loose; the patient wanted to discuss options to replace them.

Before -3

Treatment Stages

After 2-1

The patient underwent upper and lower implant surgery and reconstruction on the same day. The images shown here display his reconstruction post treatment.

After -3

Do you need to fill a larger gap in your mouth?

Long Span Implants

In many cases patients may be missing more than one tooth in a row but will not require reconstruction of all the teeth in one arch of their jaw. We call these cases ‘long span restoration’ cases.
 
Such cases can be particularly complex as it is essential to match the new teeth with the existing ones. It can be more straightforward in cases that require all teeth to be replaced at once.
 
For patients who require replacement of teeth in a long span situation, we have several options available including dentures, fixed tooth supported bridgework or dental implants.
cbi-0216-085_031_090612
The Campbell Clinic have a team of clinical experts who are able to assess individual patients and discuss all possible options available and, in particular, the best options for an individual patient case.
 
Should dental implants be considered to be the best option for patient then it is generally not necessary to place a dental implant for each missing tooth. This can reduce the cost implications for the patient as dental implant bridgework is often the best option for long span cases.
 
In some cases, implant retained dentures provide a better and more cost-effective option for these cases and again, an expert clinical team is able to assist in the decision-making process related to this.
Screen Shot 2019-10-09 at 11.50.04

Patient Story

Before 2

This patient was referred to us from their General Dentist as they were unhappy with the appearance of their teeth. Overall the patient presented with a poor prognosis of the upper arch but had treatment to replace teeth in the upper left quadrant with an implant retained bridge.

Before

Treatment Stages

After 2

The image here shows post treatment the integrated implant at the front of the mouth and the canine, with a pontic bridge.

After

Let Us Help You - Get in Touch Today!