Composite Bonding Nottingham

Natural looking results

What is composite bonding?

At The Campbell Clinic, we offer composite bonding treatment to fix a defect or imperfection within a tooth.

Composite bonding is a quick, painless, and reversible cosmetic dental procedure that involves the application of a tooth-coloured resin material to the teeth to improve their appearance. The resin material is carefully sculpted and bonded to the tooth surface to change its shape, colour, or size, and to repair minor chips or cracks.

Composite bonding is a relatively non-invasive and affordable option for improving the appearance of teeth compared to other cosmetic dental procedures like porcelain veneers or dental crowns.

Book Your Appointment Today

Become more confident with your smile!

Book Your Appointment

The benefits of composite bonding

  • Fast and effective 
  • Non-invasive
  • Our crowns, veneers, and bridges use the latest aesthetic dentistry materials
  • Super fast and safe treatment
  • Perfectly matched in shape and colour to your surrounding natural teeth
  • No needles
Composite bonding Nottingham Teeth Whitening Nottingham
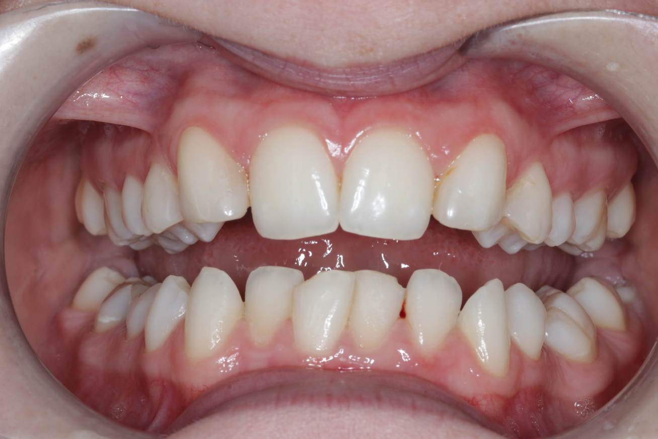
Pre Treatment
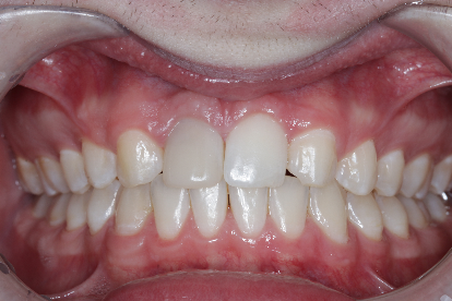
Post Treatment
Front tooth composite before Front tooth composite after
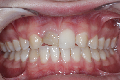
Pre Treatment
Post Treatment
Bottom teeth composite before-1 Bottom teeth composite after-1
Pre Treatment
Post Treatment
Frequently Asked Questions
What is dental composite?

Dental composite is the material we use for cosmetic treatments. It’s a strong, tooth-coloured material that blends into your natural teeth to restore form, function, and aesthetics to your smile.

Can composite bonding stain?

Composite bonding materials are resistant to staining but can become discoloured over time. While they are less prone to staining compared to natural teeth, it is still advisable to avoid habits like smoking or excessive consumption of staining substances like coffee, tea, or red wine. Regular dental cleanings can help remove any surface stains that may develop.

How do I care for my bonded teeth?

It is essential to maintain good oral hygiene practices to care for bonded teeth. This includes brushing at least twice a day, flossing daily, and visiting your dentist for regular check-ups and cleanings. Avoid biting or chewing on hard objects like ice or pens, as this can damage the bonding material.

How long does composite bonding last?

The lifespan of composite bonding can vary depending on factors such as oral hygiene habits, eating habits, teeth grinding or clenching, and the location of the bonding in the mouth. With proper care, composite bonding can last anywhere from 5 to 10 years or even longer before it may need to be repaired or replaced.

Is composite bonding painful?

Composite bonding is usually painless, and in most cases, it can be performed without the need for anaesthesia. However, if the bonding is being used to fill a cavity or if the tooth requires some reshaping, a local anaesthetic may be administered to ensure the patient's comfort.

How long does the composite bonding procedure take?

The duration of the composite bonding procedure depends on the number of teeth being treated and the complexity of the case. In general, it can be completed in one appointment lasting anywhere from 30 minutes to a few hours.

How is composite bonding different from other dental treatments?

Composite bonding is a conservative and relatively non-invasive dental treatment compared to options like veneers or crowns. It involves applying a tooth-coloured resin material directly to the tooth surface, which is then sculpted and bonded in place, usually in a single visit.